Tooth Color Filling

Tooth Color Filling


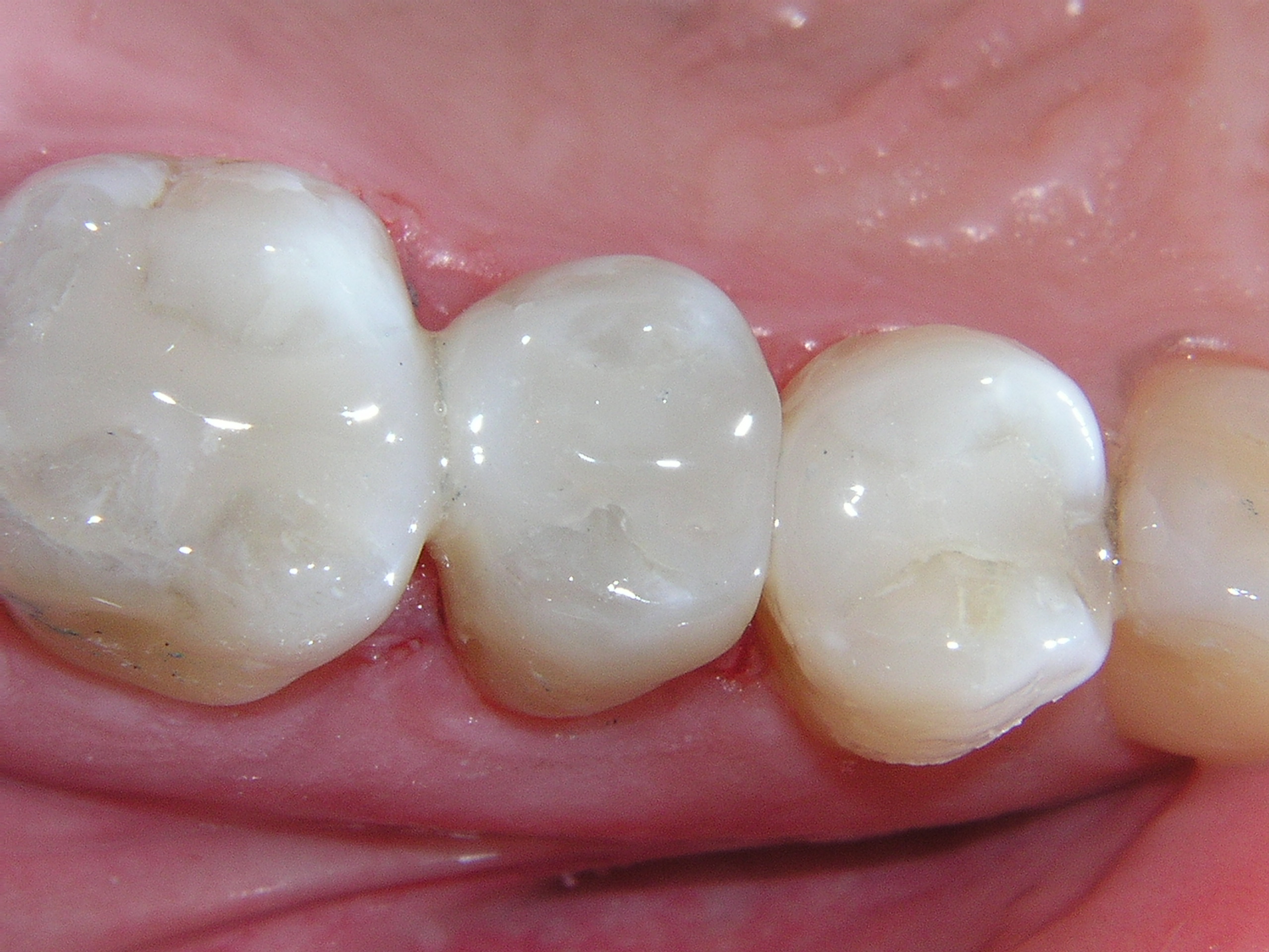
If you’ve ever needed a filling, you may have been given the option between a silver filling and a white filling. The difference between the two lies deeper than color: silver fillings are made of a material called amalgam, and white fillings are made of composite resin. Amalgam is made up of mercury, tin, silver, and copper, and is generally considered a durable material for fillings. A composite filling is a combination of plastic and ceramic materials that gives the filled tooth a more natural look. So which is a better choice for you?

Why it is needed?


To treat a cavity your dentist will remove the decayed portion of the tooth and then "fill" the area on the tooth where the decayed material was removed.

Fillings are also used to repair cracked or broken teeth and teeth that have been worn down from misuse (such as from nail-biting or tooth grinding).

What Steps Are Involved in Filling a Tooth?


First, the dentist will use a local anesthetic to numb the area around the tooth to be filled. Next, a drill, air abrasion instrument, or laser will be used to remove the decayed area. The choice of instrument depends on the individual dentist's comfort level, training, and investment in the particular piece of equipment as well as location and extent of the decay.

Next, your dentist will probe or test the area to determine if all the decay has been removed. Once the decay has been removed, the dentist will prepare the space for the filling by cleaning the cavity of bacteria and debris. If the decay is near the root, your dentist may first put in a liner made of glass ionomer, composite resin, or other material to protect the nerve. Generally, after the filling is in, your dentist will finish and polish it.

Several additional steps are required for tooth-colored fillings and are as follows. After your dentist has removed the decay and cleaned the area, the tooth-colored material is applied in layers. Next, a special light that "cures" or hardens each layer is applied. When the multilayering process is completed, the dentist will shape the composite material to the desired result, trim off any excess material, and polish the final restoration.

What Types of Filling Materials Are Available?


Today, several dental filling materials are available. Teeth can be filled with gold; porcelain; silver amalgam (which consists of mercury mixed with silver, tin, zinc, and copper); or tooth-colored, plastic, and materials called composite resin fillings. There is also a material that contains glass particles and is known as glass ionomer. This material is used in ways similar to the use of composite resin fillings.

The location and extent of the decay, cost of filling material, your insurance coverage, and your dentist's recommendation assist in determining the type of filling best for you.